La dysplasie de la hanche et la dysplasie du coude sont deux affections articulaires fréquentes chez le chien, fréquemment retrouvées chez les grands formats. Ces troubles, dont l’étiologie est polyfactorielle, peuvent entraîner une gêne fonctionnelle importante, de la douleur, et un handicap fonctionnel. Un dépistage précoce est essentiel pour adapter rapidement la prise en charge et limiter les altérations sur la qualité de vie du chien.
La dysplasie de la hanche est un trouble du développement de l’articulation coxo-fémorale. Elle génère un défaut de congruence et de coapatation entre la tête fémorale et l’acétabulum, ce qui peut provoquer une lésion du cartilage articulaire et une inflammation pouvant aboutir à une arthrose très précoce.

Mesure de l'angle de Norberg Olson lors d'un dépistage officiel de dysplasie de la hanche
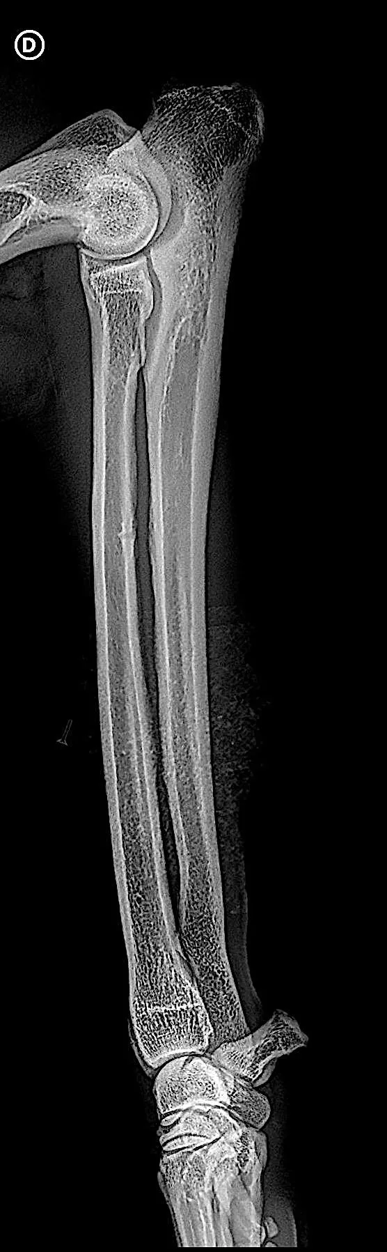
La dysplasie du coude correspond à un développement pathologique de l’articulation du coude, liée à des altérations morphologiques de l’humérus, du radius ou de l’ulna. Les symptômes cliniques peuvent être des boiteries précoces, une altération de la mobilité articulaire et notamment de sa flexion et une pathologie dégénérative arthrosique précoce.

Cliché officiel d'un dépistage de dysplasie du coude
Les races prédisposées sont principalement les chiens de grande taille ou à croissance rapide, comme :
-
-
-
-
-
-
La dysplasie, qu’elle touche la hanche ou le coude, est une affection articulaire évolutive qui peut évoluer à bas-bruit durant la croissance. Un dépistage précoce offre de meilleures perspectives de prise en charge. La précocité du diagnostic permet de mettre en place des thérapeutiques médico-chirurgicales qui visent à limiter le handicap clinique.
Chez le chiot, certaines interventions correctives ne sont envisageables que si le diagnostic a été précoce. Il est donc essentiel de ne pas attendre l’apparition de boiteries ou de difficultés locomotrices pour intervenir.
Dans les races prédisposées, le dépistage précoce permet de limiter la transmission génétique de la maladie. C’est pourquoi de nombreux clubs de race exigent un dépistage radiographique officiel avant d’autoriser un chien la reproduction.
-
-
Pour les chiens destinés à des activités sportives (agility, chasse, etc.) ou professionnelles (chiens guides, chiens policiers), un dépistage précoce est vivement conseillé afin de prévenir toute limitation future.
Le dépistage de la dysplasie repose principalement sur un examen clinique suivi d’un bilan radiographique. Lors de la consultation, le vétérinaire observe la démarche du chien, réalise un examen clinique orthopédique, teste l’amplitude des mouvements articulaires et peut détecter des signes de douleur. Ces premiers éléments peuvent alerter sur une possible dysplasie.
Pour confirmer le diagnostic, des radiographies des articulations concernées (hanche et/ou coude) sont nécessaires. Cet examen se réalise généralement sous sédation ou anesthésie légère, afin de garantir une position précise et sans douleur pour l’animal. Une contention optimale est indispensable pour obtenir des clichés exploitables, notamment pour les dépistages officiels demandés chez les chiens de race.
Les radiographies officielles réalisées sont alors envoyées à un lecteur agréé par la centrale canine, qui attribuera un score de dysplasie selon une classification standardisée.
-
-
-
-
-
-
-
-
-
-
Ce dépistage est rapide, indolore grâce à la sédation, et essentiel pour anticiper une prise en charge adaptée si une anomalie est détectée.
Ainsi, notre clinique vétérinaire Sevetys Occitanie propose la réalisation de radiographies officielles de dépistage de la dysplasie des hanches et des coudes chez le chien en conformité avec les préconisations officielles. Outre la pratique en diagnostic orthopédique et chirurgie ostéo-articulaire, le Dr Boulet est lecteur officiel national pour le dépistage de la dysplasie de la hanche et du coude pour plusieurs clubs de races.